
近日,公司作物学科生物信息与作物逆境生理团队在国际知名期刊《Rice》(中科院一区Top)上发表题为"E3 Ubiquitin Ligase OsRFI2 Regulates Salinity Tolerance by Targeting Ascorbate Peroxidase OsAPX8 for its Degradation in Rice"的研究论文。公司作物学科刘庆坡教授为通讯作者,赵娟副教授为共同通讯作者,研究生赵文静为第一作者,温俊丽为共同第一作者。
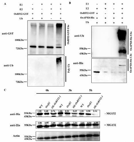
盐害是严重影响水稻生长和产量的非生物胁迫因素之一。在本研究中,我们鉴定发现一个RING-type E3泛素连接酶OsRFI2在水稻耐盐性方面就有负调控作用。OsRFI2的敲除突变体(Osrfi2)表现出较高的耐盐性,而OsRFI2过表达的转基因系(OE-OsRFI2)则对盐更为敏感。利用酵母双杂、BiFC、pull-down实验证明了具有E3连接酶活性的OsRFI2蛋白在叶绿体中与抗坏血酸过氧化物酶OsAPX8相互作用,并通过26S蛋白酶体途径催化其泛素化和降解。Osapx8突变体,与OE-OsRFI2相似,表现出对高盐浓度的高度敏感性,其受到盐胁迫后在植株中积累了更多的丙二醛、过氧化氢和超氧阴离子,导致细胞通透性受损和活性氧(ROS)的过量积累。OsRFI2-OsAPX8模块为阐明水稻中盐胁迫应答的调控机制提供了新的线索。
图1 OsRFI2与OsAPX8互作
图2 OsRFI2具有E3泛素连接酶活性并通过26S蛋白酶体途径催化OsAPX8泛素化和降解
图3 “miR528-OsRFI2-OsAPX8-ROS”调控水稻耐盐性的作用模型
本研究受到国家自然科学基金(32101658, 31972959, 32201697, 32401764),浙江省自然科学基金(LQ21C130001)和浙江省自然科学基金重点项目(LZ19B070001)的资助。
文章链接:
https://doi.org/10.1186/s12284-025-00763-x
图文/赵娟